★★★メディカルダイエット(GIP/GLP-1受容体作動薬)★★★
※ 事前の薬剤準備のため、余裕を持って予約をお願いします。再診の方も予約をお願い致します。
・メディカルダイエットの概要
肥満は糖尿病、脂肪肝、睡眠時無呼吸症候群などと関連し、身体的な不利益が生じます。
また、社会的な不利益も生じることが報告されています。
References:
Morris S. The Impact of Obesity on Employment. Labour Economics. 2007; 14: 413-433.
今までは、肥満の原因が、食事や運動などの生活スタイルの自己管理能力の問題に帰せられる傾向がありました。
しかし、近年では、食欲中枢・消化・吸収・代謝に関わるホルモンの分泌量や腸内環境による個人の因子が強く関連していることが判明しています。
それに伴い、肥満の治療は、食事・運動療法の厳格な実行という従来の画一的な治療ではなく、GLP-1受容体作動薬などによる薬物治療の重要性が増しています。
GLP-1受容体作動薬は、アメリカ合衆国や欧州連合加盟国で肥満症治療の適応が承認され、欧州肥満学会のガイドラインの第1選択薬です。
日本国内では糖尿病のない肥満症に対する保険診療処方は、大学病院などの教育研修施設に限られ、また、半年間の事前の食事療法、運動療法の継続など、受診・通院が難しい方も多いと思われます。
患者さんからの要望が多いため、当院での処方は、糖尿病の方は保険診療、糖尿病でない方は自費診療となりますが、GLP-1受容体作動薬による医療ダイエットを行っています。
当院では、GLP-1受容体作動薬の中で、下記のように体重減少効果の高いGIP/GLP-1受容体作動薬であるTirzepatide(チルゼパチド、商品名:マンジャロ、ゼップバウンド)のマンジャロを使用します。
Semaglutide(セマグルチド、商品名:オゼンピック、リベルサス、ウゴービ)
Liraglutide(リラグルチド、商品名:サクセンダ、ビクトーザ)
Dulaglutide(デュラグルチド、商品名:トルリシティ)
References:
Tsukamoto S, et al. Effect of tirzepatide on glycaemic control and weight loss compared with other glucagon-like peptode-a receptor agonists in Japanese patients with type 2 diabetes mellitus. Diabetes Obes Metab. 2024; 26: 262-274.
References:
Inagaki N, et al. Efficacy and safety of tirzepatide monotherapy compared with dulaglutide in Japanese patients with type 2 diabetes (SURPASS J-mono): a double-blind, multicentre, randomized, phase 3 trial. Lancet Diabetes Endocrinol. 2022; 10: 623-633.
・当院での症例紹介
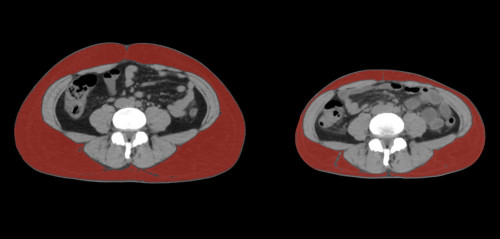
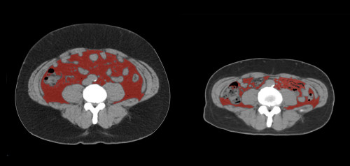
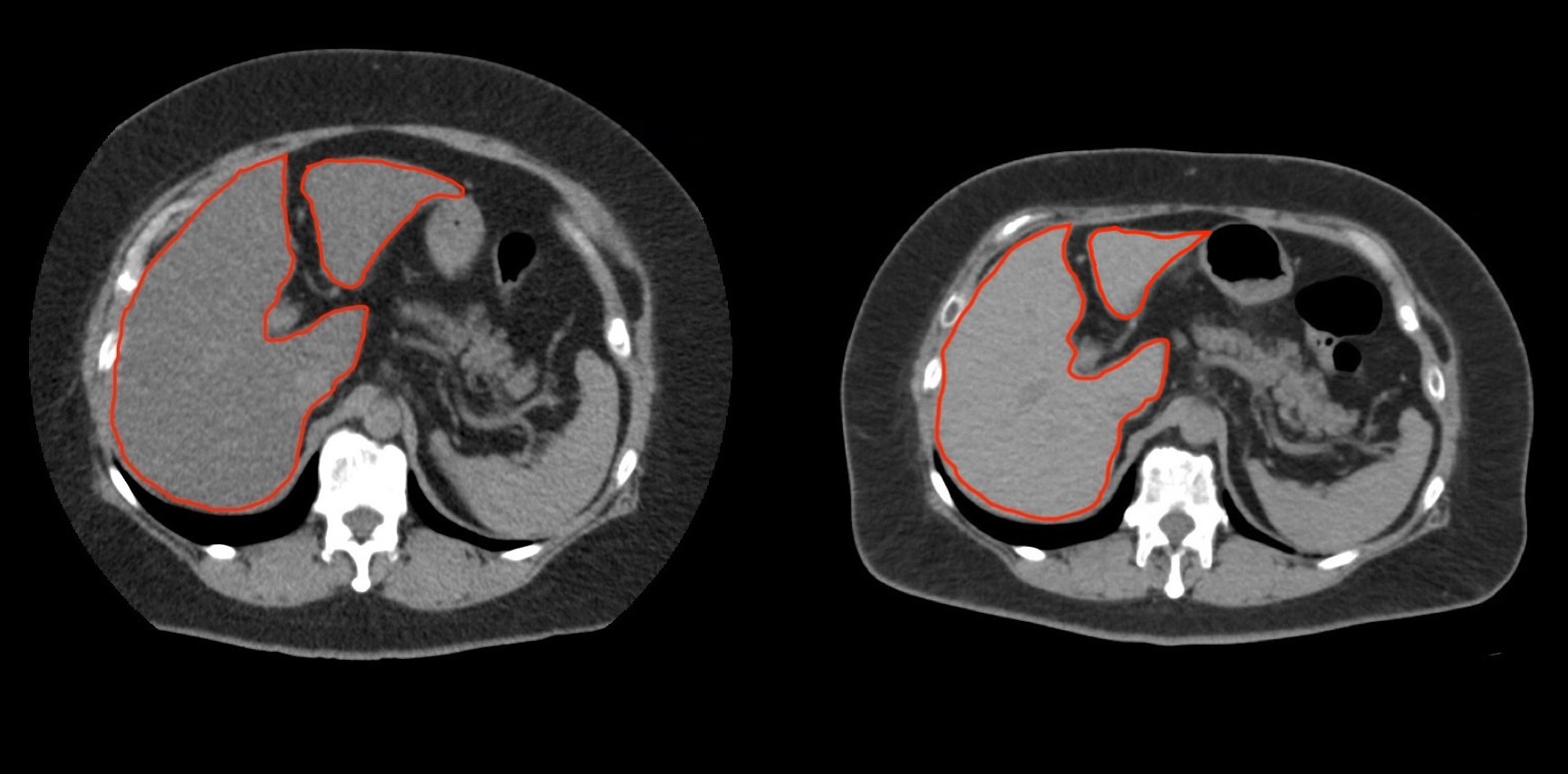
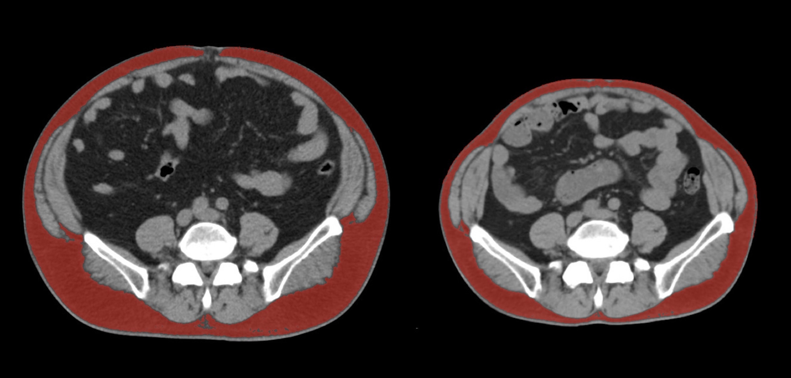
①
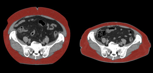
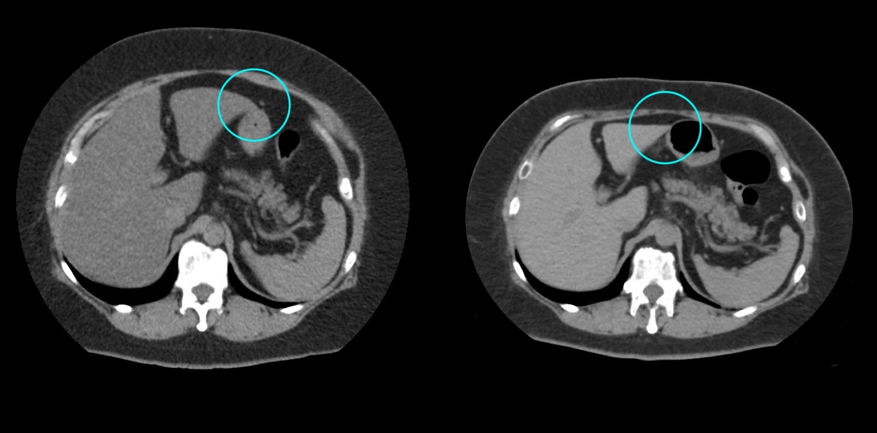
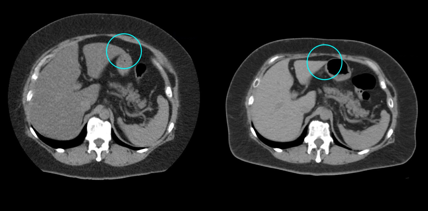
50代・女性(ご本人のご厚意で画像提供)
治療内容:チルゼパチド7.5mgの週1回自己注射による脂肪減少と脂肪肝改善
治療期間: 12ヶ月(52週)((用量は2.5mgから開始し最大で15mg。減量効果が得られる必要用量には個人差があります。))
費用:自由診療の場合は9900円(税込)×52(週)=514800円
想定されるリスク・副作用:下記に副作用を記載
※医療広告ガイドラインに準拠して表記
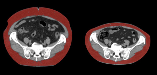
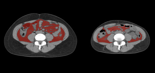
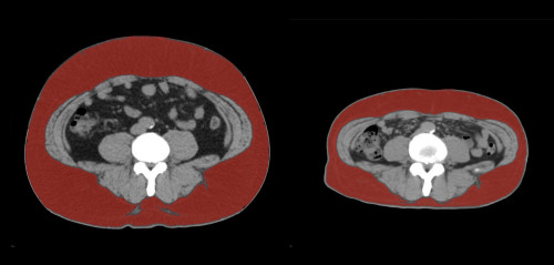
1:脂肪の減少
皮下脂肪の減少(赤色部分)
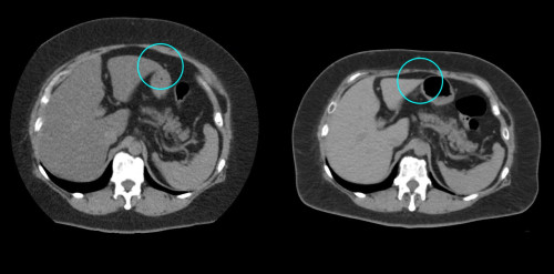
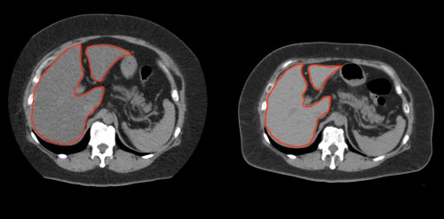
2:脂肪肝の改善
沈着した脂肪の減少による肝臓の平均CT値の増加(20から50へ)(脾臓の平均CT値は両者とも50)
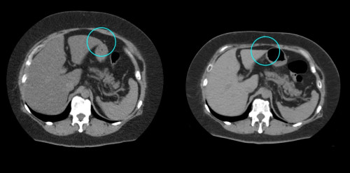
bluntness of the liver edgeの改善(青色部分)
②
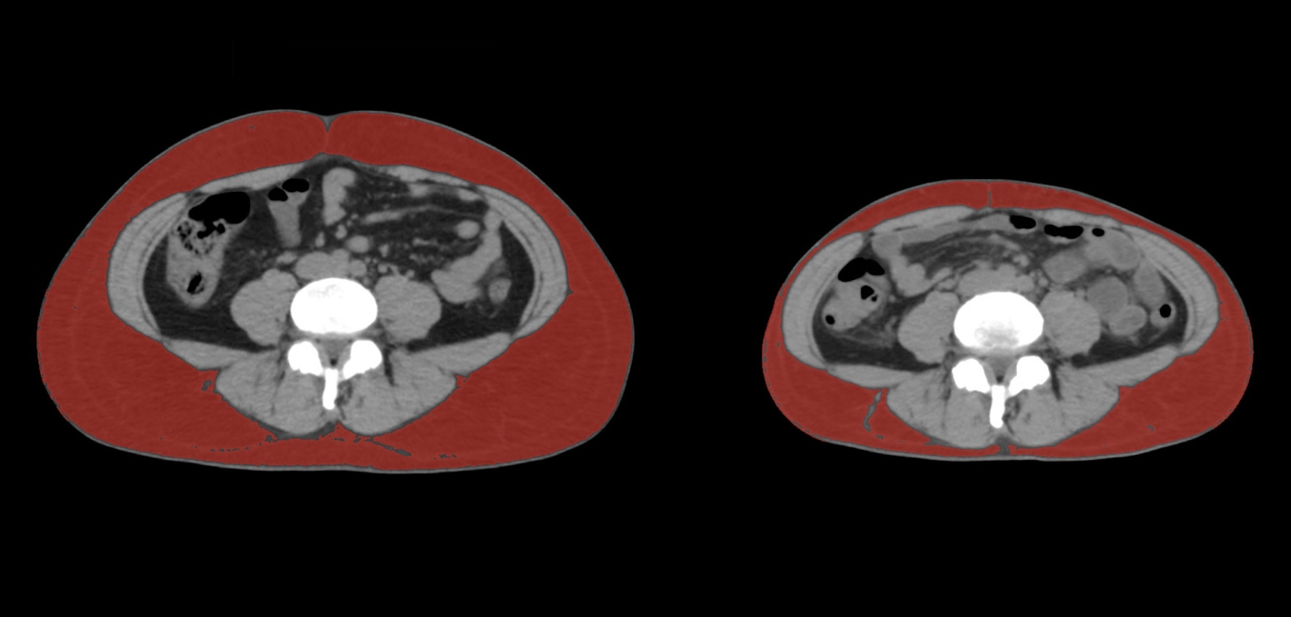
40代・女性(ご本人のご厚意で画像提供)
治療内容:チルゼパチド2.5mgの週1回自己注射による脂肪減少と脂肪肝改善
治療期間: 6ヶ月(26週)((用量は2.5mgから開始し最大で15mg。減量効果が得られる必要用量には個人差があります。))
費用:自由診療の場合は4400円(税込)×26(週)=114400円
想定されるリスク・副作用:下記に副作用を記載
※医療広告ガイドラインに準拠して表記
1:脂肪の減少
皮下脂肪の減少(赤色部分)
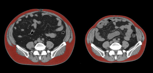
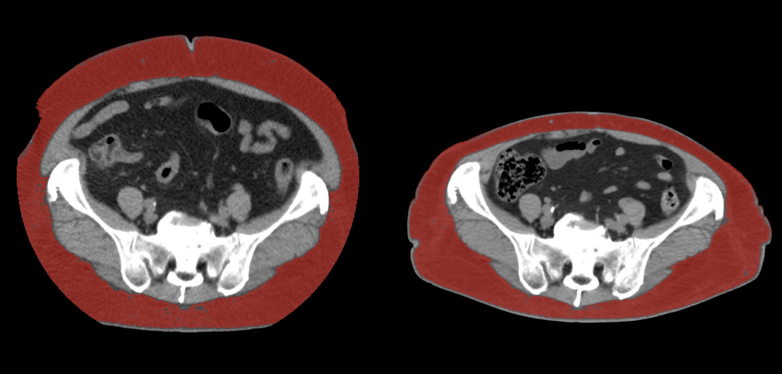
③
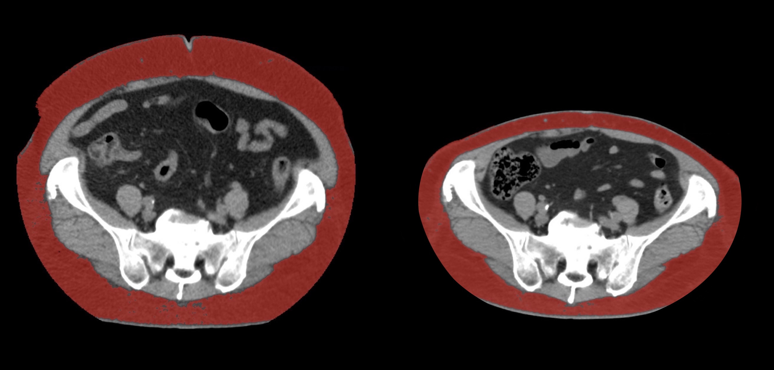
50代・男性(ご本人のご厚意で画像提供)
治療内容:チルゼパチド5.0mgの週1回自己注射による脂肪減少と脂肪肝改善
治療期間: 6ヶ月(26週)((用量は2.5mgから開始し最大で15mg。減量効果が得られる必要用量には個人差があります。))
費用:自由診療の場合は7700円(税込)×26(週)=200200円
想定されるリスク・副作用:下記に副作用を記載
※医療広告ガイドラインに準拠して表記
1:脂肪の減少
皮下脂肪の減少(赤色部分)
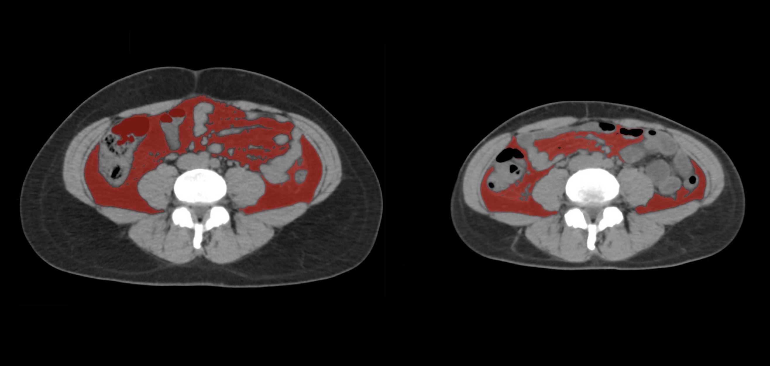
④
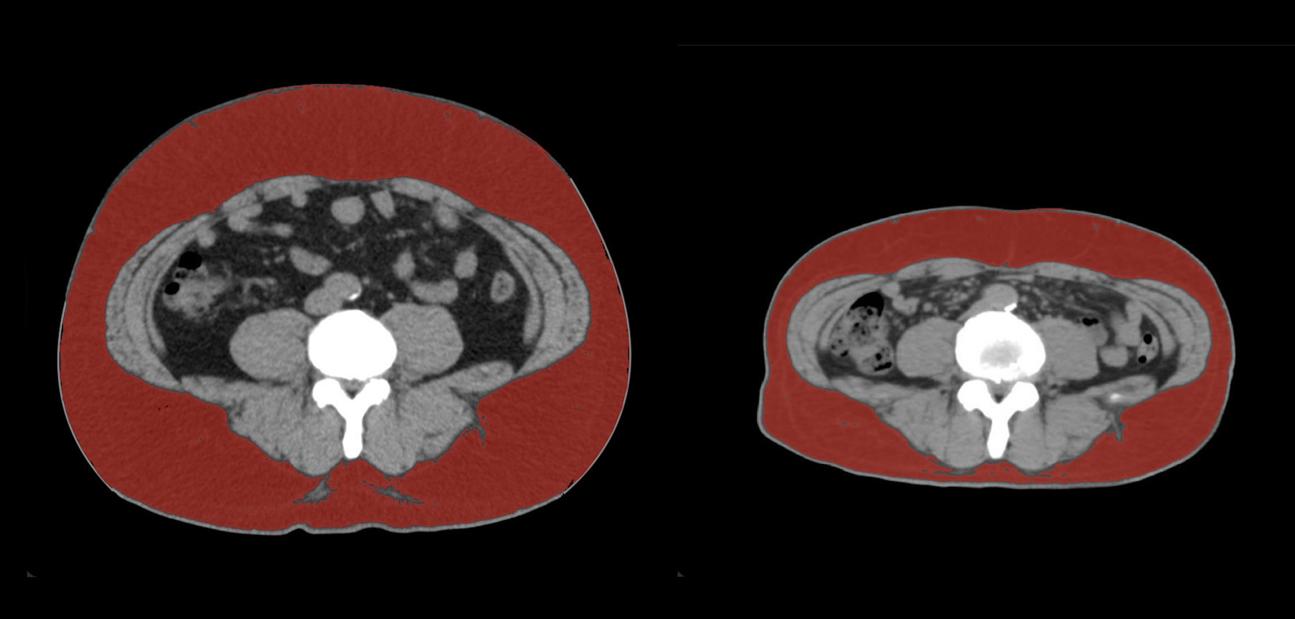
50代・男性(ご本人のご厚意で画像提供)
治療内容:チルゼパチド7.5mgの週1回自己注射による脂肪減少と脂肪肝改善
治療期間: 12ヶ月(52週)((用量は2.5mgから開始し最大で15mg。減量効果が得られる必要用量には個人差があります。))
費用:自由診療の場合は9900円(税込)×52(週)=514800円
想定されるリスク・副作用:下記に副作用を記載
※医療広告ガイドラインに準拠して表記
1:脂肪の減少
皮下脂肪の減少(赤色部分)
・GIP/GLP-1受容体作動薬の作用機序
1:視床下部の傍視床下核への刺激による食欲抑制
2:胃を中心とした消化管運動抑制
3:脂肪分解の亢進
References:
Han W, et al. Glucose-dependent insulinotropic polypeptide counteracts diet-induced obesity along with reduced feeding, elevated plasma leptin and activation of leptin-responsive and proopiomelanocortin neurons in the arcuate nucleus. Diabetes Obes Metab. 2023; 25: 1534-1546.
※ 事前の薬剤準備のため、余裕を持って予約をお願いします。再診の方も予約をお願い致します。
・マンジャロの使用をお勧めする方
食事療法、運動療法のみで充分な体重減少効果が得られない方
食事療法による摂取カロリー制限を継続できない方
多忙などが理由で運動療法などが充分に行えない方
メトホルミン、SGLT2阻害薬、内服薬のリベルサス、注射薬のサクセンダ、ビクトーザ、オゼンピック、ウゴービなどのGLP-1受容体作動薬で充分な体重減少効果が得られなかった方
・マンジャロの使用を受けることができない方
20歳未満の方
BMIが23未満の方
妊娠中、授乳中の方
膵炎、膵癌、胆嚢炎、胆管炎、腸閉塞の既往のある方
・マンジャロの使用方法
週1回自己注射
針の装着や容量の設定が不要な使い切りタイプ
打ち方の参考動画
日本イーライリリー株式会社
https://jp.lilly.com/diabetes_consumer/usage-mounjaro
・マンジャロの価格
※ 用量は2.5mgから開始となり最大で15mg
減量効果が得られる必要用量には個人差があります。
2.5mg1本:4400円(税込)
5.0mg1本:7700円(税込)
7.5mg1本:9900円(税込)
10.0mg1本:12100円(税込)
・マンジャロの副作用
悪心・嘔吐・下痢・便秘・腹痛(5%以上)
注射部の皮疹(1〜5%未満)
そう痒性皮疹(1%未満)
味覚障害(1%未満)
急性膵炎(0.1%未満)
胆管炎(0.1%未満)
胆嚢炎(頻度不明)
低血糖(頻度不明)
※ 事前の薬剤準備のため、余裕を持って予約をお願いします。再診の方も予約をお願い致します。
自費診療の注意事項
未承認医薬品等(異なる目的での使用):
マンジャロは、2型糖尿病の治療薬として厚生労働省に承認されています。肥満治療目的での処方は国内で承認されていません。
入手経路等:
国内の医薬品卸業者より国内承認薬を仕入れています。
国内の承認医薬品等の有無:
マンジャロと同成分(チルゼパチド)のゼップバウンドが、肥満症の治療薬として国内で承認されています。
諸外国における安全性等に係る情報:
同一成分がアメリカ食品医薬品局で肥満症治療薬として承認されていますが、諸外国でも美容・痩身・ダイエット等を目的とした使用は承認されていないため、重大なリスクが明らかになっていない可能性があります。
医薬品副作用被害救済制度について:
万が一重篤な副作用が出た場合は、国の医薬品副作用被害救済制度の対象外となります。














